Dårlig ånde, også kendt som halitose, er en tilstand, der rammer de fleste mennesker fra tid til anden. Selvom det kan være pinligt og socialt invaliderende, er det vigtigt at huske, at det er et almindeligt problem, som oftest kan afhjælpes med enkle midler. I denne artikel dykker vi ned i de primære årsager til dårlig ånde, hvordan du kan behandle og forebygge det, og hvornår det er nødvendigt at søge professionel hjælp hos en tandlæge.
Hvad er dårlig ånde (halitose)?
Dårlig ånde er en ubehagelig lugt fra munden, som kan være konstant eller periodisk. Lugten stammer typisk fra svovlbrinteforbindelser, der produceres af bakterier i mundhulen. Disse bakterier nedbryder madrester, døde celler og andre organiske materialer, hvilket frigiver de ildelugtende gasser. Selvom morgenånde er en normal og forbigående tilstand for de fleste, kan vedvarende dårlig ånde være et tegn på underliggende problemer, der kræver opmærksomhed. På fagsprog kaldes dårlig ånde enten ”halitosis” eller ”foetor ex ore”, som netop betyder 'stank fra munden' [1].
Årsager til dårlig ånde
Der er mange forskellige faktorer, der kan bidrage til dårlig ånde. Her er nogle af de mest almindelige årsager:
Bakterier og dårlig mundhygiejne
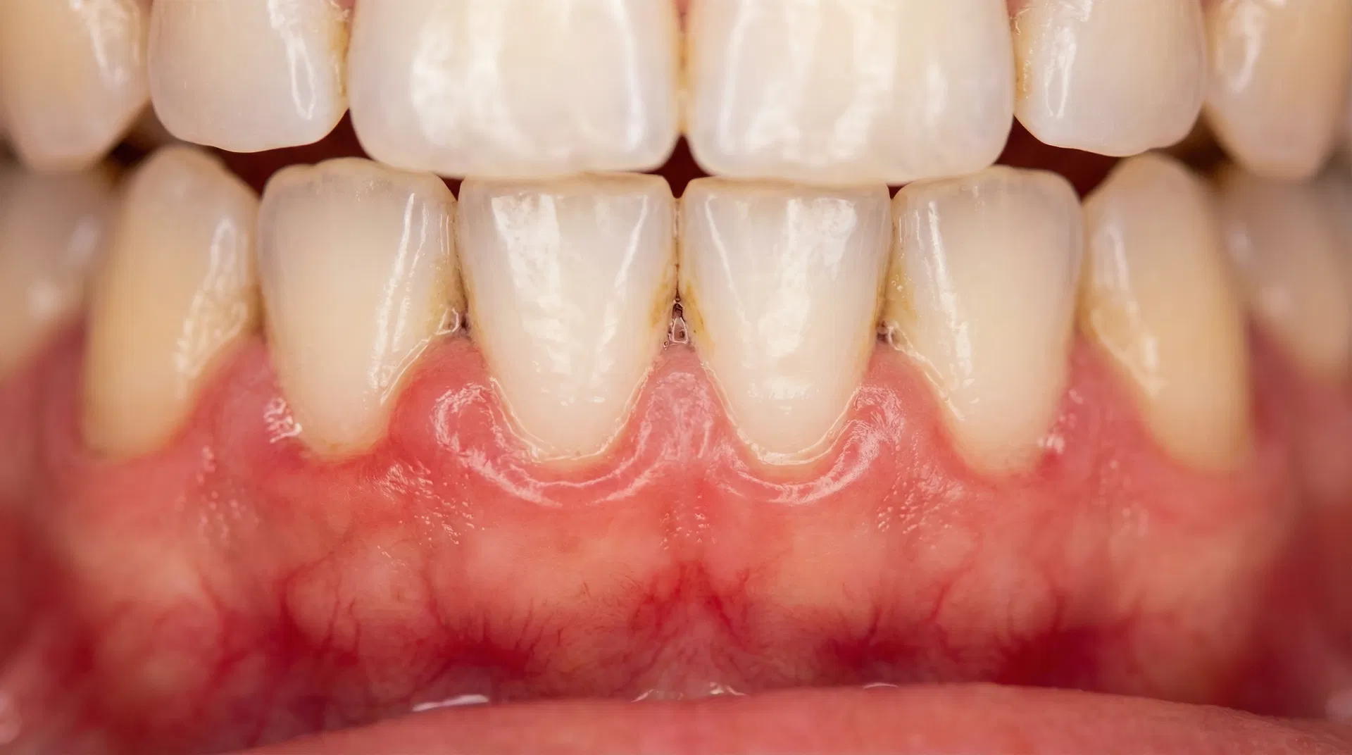
Den hyppigste årsag til dårlig ånde er en ophobning af bakterier i munden. Hvis tænderne ikke børstes grundigt og regelmæssigt, vil madrester og plak sætte sig fast, især langs tandkødsranden og på tungen. Disse bakteriebelægninger er den primære kilde til de svovlforbindelser, der forårsager den ubehagelige lugt. Utilstrækkelig brug af tandtråd kan også efterlade madrester mellem tænderne, som bakterierne kan leve af. Dårlig mundhygiejne kan føre til en række mundhuleproblemer, der yderligere forværrer dårlig ånde, herunder tandkødsbetændelse og huller i tænderne [2].
Mundtørhed (Xerostomi)
Spyt spiller en afgørende rolle i at rense munden for madrester og neutralisere de syrer, som bakterierne producerer. Når spytproduktionen er nedsat, opstår mundtørhed, hvilket skaber et ideelt miljø for bakterievækst. Mundtørhed kan skyldes dehydrering, vejrtrækning gennem munden (især om natten), visse medicintyper (f.eks. mod depression, forhøjet blodtryk og allergi) eller underliggende sygdomme som Sjøgrens syndrom eller strålebehandling i hoved-halsområdet [1]. En tør mund kan også opstå ved længere perioder uden mad, da spytproduktionen ofte stimuleres af tygning.
Kost og livsstil
Visse fødevarer og drikkevarer kan midlertidigt give dårlig ånde. Hvidløg, løg, stærke krydderier, kaffe og alkohol er kendte syndere. Når disse fødevarer fordøjes, absorberes de ildelugtende stoffer i blodbanen og udskilles via lungerne, hvilket påvirker ånden. Rygning og brug af andre tobaksprodukter er også en væsentlig årsag til dårlig ånde og kan desuden føre til tandkødsbetændelse og paradentose. Desuden kan visse slankekure eller fasteperioder, hvor kroppen nedbryder fedtdepoter, frigive ketonstoffer, der giver en karakteristisk, sødlig eller frugtagtig lugt til ånden [2].
Tandproblemer
Tandkødsproblemer som tandkødsbetændelse (gingivitis) og paradentose (parodontitis) er ofte forbundet med dårlig ånde. Betændelse i tandkødet skaber dybe lommer mellem tænder og tandkød, hvor bakterier kan trives og producere ildelugtende gasser. Huller i tænderne (caries), utætte fyldninger og dårligt tilpassede tandproteser kan også fungere som fælder for madrester og bakterier, der er svære at fjerne med almindelig tandbørstning [1]. Betændelse omkring frembrydende visdomstænder er også en hyppig årsag til dårlig ånde hos unge mennesker [1].
Medicinske tilstande og sygdomme
I nogle tilfælde kan dårlig ånde være et symptom på en underliggende medicinsk tilstand. Sygdomme som diabetes, nyresvigt, leversygdomme, kronisk bihulebetændelse, halsbetændelse og visse mave-tarmsygdomme kan alle manifestere sig gennem en karakteristisk lugt fra munden. For eksempel kan en frugtagtig eller acetone-lignende ånde være et tegn på ureguleret diabetes (ketoacidose). Problemer i mandlerne, såsom mandelpropper (tonsillolitter), hvor ildelugtende hvide masser dannes, er også en hyppig årsag [1]. I sjældne tilfælde kan dårlig ånde endda være et symptom på mere alvorlige tilstande som kræft i næse, mund eller svælg [2].
Behandling og forebyggelse af dårlig ånde
Heldigvis er der meget, du selv kan gøre for at bekæmpe og forebygge dårlig ånde. En kombination af god mundhygiejne og sunde livsstilsvaner er ofte nøglen til en frisk ånde:
- Forbedr din mundhygiejne: Børst tænder grundigt mindst to gange om dagen i to minutter med en fluorholdig tandpasta. Brug en blød tandbørste og fokuser på alle tandflader. Husk også at bruge tandtråd eller mellemrumsbørster dagligt for at fjerne plak og madrester mellem tænderne og under tandkødsranden. Dette er essentielt for at fjerne de bakterier, der forårsager dårlig ånde [2].
- Rens tungen: En stor del af de bakterier, der forårsager dårlig ånde, sidder på tungen, især på den ru tungeryg. Brug en tungeskraber eller din tandbørste til forsigtigt at rense tungens overflade hver dag. Dette kan reducere mængden af bakterier og dermed den dårlige lugt betydeligt.
- Hold munden fugtig: Drik rigeligt med vand i løbet af dagen for at opretholde en god spytproduktion og undgå mundtørhed. Spyt hjælper med at skylle bakterier og madrester væk. Sukkerfrit tyggegummi eller sugetabletter kan også stimulere spytproduktionen. Hvis mundtørhed er et vedvarende problem, kan din tandlæge anbefale specifikke produkter eller behandlinger [1].
- Vær opmærksom på din kost: Begræns indtaget af fødevarer, der er kendt for at give dårlig ånde, som hvidløg, løg og stærke krydderier. En sund og varieret kost med regelmæssige måltider kan også hjælpe med at opretholde en frisk ånde, da lange perioder uden mad kan føre til ”sultånde” [1]. Undgå også overdreven indtagelse af kaffe og alkohol.
- Stop med at ryge: Rygestop vil ikke kun forbedre din ånde, men også din generelle mund- og kropssundhed markant. Rygning er en af de største bidragydere til dårlig ånde og øger risikoen for en række mundsygdomme.
- Regelmæssige tandlægebesøg: Gå til tandlægen for regelmæssige tjek og professionelle tandrensninger. Dette er afgørende for at opdage og behandle eventuelle tandproblemer som tandkødsbetændelse, paradentose eller huller i tænderne i tide. Tandlægen kan også give dig individuel vejledning i optimal mundhygiejne.
Find en tandlæge nær dig og få professionel hjælp til at vedligeholde en sund mundhygiejne og bekæmpe dårlig ånde effektivt.
Mundskyl og andre hjælpemidler
Mundskyllevæsker kan give en midlertidig frisk ånde, men de behandler sjældent den underliggende årsag til dårlig ånde. Nogle mundskyllevæsker indeholder antiseptiske stoffer, der kan reducere bakterier, mens andre blot maskerer lugten. Konstant brug af mundskyllevæsker anbefales normalt ikke, medmindre der er en specifik grund til det, og det bør altid ske i samråd med din tandlæge [1]. Sukkerfrit tyggegummi kan stimulere spytproduktionen og dermed hjælpe med at rense munden og neutralisere lugt. Zinkholdige sugetabletter har også vist sig at have en gavnlig effekt på dårlig ånde, der skyldes svovlbrinteforbindelser, og kan købes på apoteket [1].
Hvornår er dårlig ånde et tandlægeproblem?
Hvis du har fulgt ovenstående råd om god mundhygiejne og livsstilsændringer, men stadig oplever vedvarende dårlig ånde, er det tid til at konsultere en tandlæge. En tandlæge er den rette fagperson til at vurdere din munds sundhed og identificere eventuelle orale årsager til din dårlige ånde. Dette kan inkludere:
- Tandkødsbetændelse og paradentose: Disse tilstande kræver professionel rensning og behandling for at fjerne bakterier og betændelse.
- Huller i tænderne: Ubehandlede huller kan samle madrester og bakterier, der forårsager lugt.
- Dårlige fyldninger eller kroner: Utætte fyldninger eller kroner kan skabe nicher, hvor bakterier trives.
- Problemer med tandproteser: Proteser, der ikke rengøres korrekt, kan være en kilde til dårlig ånde.
- Betændelse omkring visdomstænder: Frembrydende eller delvist frembrudte visdomstænder kan være svære at holde rene og kan føre til infektioner.
Hvis tandlægen udelukker orale årsager, kan det være nødvendigt at opsøge din læge for at undersøge, om den dårlige ånde skyldes en medicinsk tilstand. Det er vigtigt at tage vedvarende dårlig ånde alvorligt, da det kan være et tidligt tegn på et mere alvorligt sundhedsproblem. Tøv ikke med at søge professionel rådgivning, da en tidlig diagnose og behandling kan forbedre både din mundsundhed og din generelle sundhed.
En professionel vurdering er det første skridt mod en løsning. Book en tid hos en tandlæge i dit område for at få en grundig undersøgelse og en personlig behandlingsplan, der kan give dig en friskere ånde og forbedret livskvalitet.



